Avustralyalı bilim insanı Dr Richard Scolyer, geçen yıl konferans için gittiği Polonya'nın Krakow kentinde yürüyüş sonrası rahatsızlandı ve kendisine beyin kanserinin en agresif bir türü olan glioblastoma teşhisi konuldu. Dr Scolyer, iş arkadaşı Profesör Georgina Long ile uzun zamandır birlikte yürüttüğü kanser tedavisiyle uzmanların gözetiminde tedavi olmaya başladı.
İki bilim insanı, 2009 yılında bir araştırma bursu almış ve o günden itibaren Sydney Üniversitesi'nde 'vücudun kendi bağışıklık sistemini kanserin bir türü olan melanomla savaşmaya teşvik etmek için tasarlanmış immünoterapi ilaçlarının ilk insan denemelerini yürütüyorlardı.' Yürüttükleri deneysel çalışmada kansere neden olan tümörün ameliyatla alınması öncesinde immünoterapi ilaçlarının tedavisini başlatıyorlardı. Böylece vücut bağışıklığı ameliyat öncesinde kanserle savaşmaya başlıyordu. Bu çalışmalarıyla yaşam süresini yüzde 10'dan yüzde 50'ye yükseltmiş olan iki bilim insanı aynı zamanda Yılın Avustralyalısı 2024 Ödülü'nü de aldı.

Sydney Üniversitesi dün yaptığı açıklamada "Melanom tedavisinin öncüleri Profesör Georgina Long ve Profesör Richard Scolyer, immünoterapi kullanarak melanom tedavisine yönelik devrim niteliğindeki yaklaşımları nedeniyle 2024 Yılının Avustralyalıları seçildi. Kalıcı profesyonel ortaklıkları, binlerce hayat kurtardı ve yeni çığır açmaya devam ediyor, Richard'ın kendi hastalığının tedavisi de dahil olmak üzere" dedi.
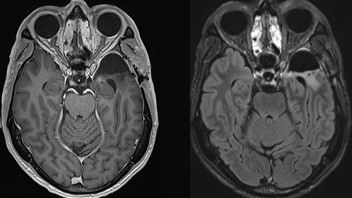
Uzman ekip eşliğinde melanomda işe yarayan ancak beyin kanserinde hiçbir zaman test edilmemiş olan yöntemlere dayanarak Dr Richard Scolyer'ın tedavisi başlandı. Ameliyatla tümörü alınan Scolyer, daha sonra kanserin tekrarlamadığını MRI taramasıyla çeşitli zamanlarda kontrol etti ve dün, son taramada kanserin tekrarlamadığını duyurdu. Dr Scolyer haberi "Geçen perşembe günü glioblastoma tekrarlaması için beyin MR taraması yaptırdım. Dün hala tekrarlama belirtisi olmadığını öğrendim. Daha mutlu olamazdım !!!!!" mesajıyla duyurdu.