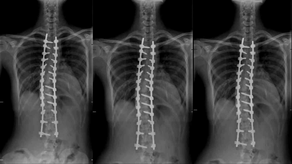
Rusya'da yaşayan 22 yaşındaki Modelina Aleksandra, 12 yıl önce omurgasında eğrilik olduğunu fark etti. Ailesi ve yakınları tarafından birçok ülkeye tedavi için götürülen Aleksandra en sonunda Türkiye'nin yolunu tuttu. Her geçen gün omurgasındaki eğriliğin arttığını fark eden Aleksandra, yaptığı araştırmalar sonucu Bursa'ya geldi. Skolyoz eğriliğinin 60 derece olduğu tespit edilen Aleksandra, Robotik Skolyoz Cerrahisi ile sonunda sağlığına kavuştu.

Kısa sürede ayağa kalkan Aleksandra kontrolleri için geldiği doktoruna nasıl teşekkür edeceğini bilemedi. Yapılan tedaviden sonra yüzü gülen Aleksandra, "12 yaşındayken omurgamda eğriliğimin olduğunu fark ettik. Avrupa'da gitmediğim ülke kalmadı. Kullanmadığım krem ve korse kalmadı. 5 yılın üzerinde korse kullandım. Rusya'da doktorlar bana skolyozumu bir korse ile düzeltemeyeceklerini söyledikten sonra araştırmaya başladım. Çünkü yaklaşık üç yıl öncesine kadar, skolyoz eğriliği rahatsız etmiyordu. Hiç acı çekmedim. Sadece kozmetik bir düzensizlikti. Ama üç yıl önce her şey değişti. Şiddetli ağrılarım başladı. Yarım saatlik yürüyüş benim için artık bir sorun oluyordu. Bir an önce omurgamı düzeltmek istiyordum. Hayat kalitemi yükseltmek istiyordum. En son olarak yaptığım araştırmalar sonunda Türkiye'ye gelmeye karar verdim. Çünkü modern teknolojide son nokta olan Robotik Omurga Cerrahisinin sadece Türkiye'de Bursa'da olduğunu öğrendim" dedi.

Aleksandra'nın kendilerine skolyoz şikâyetiyle geldiğini belirten Opr. Dr. Yunus Uysal, "Rusya'dan bize filmlerini gönderdiğinde omurgasında yaklaşık 60 derecelik bir eğriliği vardı. Ameliyat olması gerektiğini ilettik. Bizim önerimiz doğrultusundan Rusya'dan Türkiye'ye geldi. Burayı tercih etmesinin sebebi, Türkiye'deki tıp uygulamalarının üst seviyede olması olmuş. Kurumumuzda mevcut olan robotik omurga cerrahisini tekniğinden faydalanarak skolyoz ameliyatını gerçekleştirdik. Ameliyattan önce 60 derece olan eğriliği, neredeyse '0' derecesine kadar düzelttik ve yüz güldürücü bir sonuç aldık" diye konuştu.
Robotik omurga cerrahisinin şuan Türkiye'de sadece Bursa'da uygulanmakta olduğunu ifade eden Uysal, "Dünya çapında da uygulanması henüz çok yeni bir teknolojidir. Giderek daha fazla ilgi çeken bir alan oluyor. Avantajları, hastaya ameliyattan önce bilgisayar ortamında çektiğimiz tomografi üzerinden bir planlama yapıyoruz. Her bir vidanın kaç milimetrelik olacağına ve kaç derecelik açı ile işlem yapılacağına karar veriyoruz. Daha sonra ameliyat sırasında bu sonuçları robota yüklüyoruz. Robotun bir kolu var. Ameliyat esnasında her bir vida için robotun kolu pozisyon alıyor. Bu pozisyondayken biz vidanın nerede olduğunu canlı olarak eş zamanlı görüyoruz. Bu ameliyatlarda vidanın yanlış yerleşmesini önleyerek, sinir hasarlarının önüne geçilmiş oluyor. Çünkü ameliyat esnasında böyle bir robot kullanılmıyorsa, hekim kendi hissiyatıyla o vidaları yerleştirmiş oluyor" dedi.

Omurga eğriliği ameliyatı risklerini en aza indirmek için ameliyatın yüksek hassasiyetle yapılmasını sağlayan modern teknolojiler ile skolyoz ameliyatlarının artık çok daha güvenilir hale geldiğini belirten Uysal, "Bu zamana kadar omurgada gerçekleşen ameliyatların beraberinde birtakım riskleri de getirmesinin birçok kişiyi düşündürmekteydi. Robotik skolyoz ameliyatı felç de dâhil olmak üzere birçok riski azaltıyor. Robotik omurga cerrahisi sayesinde omurgaya yerleştirilecek vidalarda yüzde 99,5 ve üzeri doğruluk oranının sağlanması, günümüzde skolyoz ameliyatlarından alınabilecek en iyi başarı oranını bizlere sunuyor" diye konuştu.

Aynı zamanda omurga eğriliği olarak bilinen skolyozda ameliyat kararını belirleyen faktörlerden birinin ileri derecede eğrilik olduğunu dile getiren Opr. Dr. Uysal, "Omurga eğriliğinin 40 derece ve üzeri olduğu hastalara, ameliyat dışı tedavilerin yeterli olmaması durumunu ve şiddetli ağrıların olup olmadığını da değerlendirerek cerrahi tedavi önermekteyiz. Robotik omurga cerrahisinde kullandığımız yeni nesil MAZOR robotu ile ameliyat öncesi veya ameliyat sırasında, her hastanın omurga yapısına özel olarak planlama yapabilmekteyiz. Buradaki hedefimiz omurlara vida ve rod adını verdiğimiz metal çubuklardan oluşan implantlar yerleştirerek eğriliğin düzeltilmesi ile düzeltilen bölgedeki omurların birbiriyle kaynaşmasını sağlamaktır. Robotik omurga cerrahisinin buradaki inanılmaz etkisi, implantların yerleştirileceği noktaları son derece hassas ve detaylı hesaplamalarla gerçekleştirerek en iyi açının sağlanması ve minimum hata ile ameliyatın tamamlanmasıdır. Ameliyat sırasında yapılan işlemleri eş zamanlı ve en önemlisi 3 boyutlu olarak takip edebiliyor olmamız ise robotik omurga cerrahisinin bizlere sağladığı bir diğer avantajdır" şeklinde ifade etti.

Son olarak robotik skolyoz cerrahisinin ameliyat sonrası süreçteki avantajına değinen Opr. Dr. Yunus Uysal "Hastaların meydana gelebilecek risklerden korkması doğaldır. Fakat robotik skolyoz cerrahisi sonrasında hastalar, geleneksel skolyoz ameliyatlarına göre daha az ağrı hissetmekte ve daha hızlı bir iyileşme sürecinden geçmektedir" dedi.